Dr. Puli Sudhakar, MDS – Leading Dentist Saket Road near Dammaiguda at Smile Dental and Implant Centre

Are you losing confidence because of a smile or dental problems and hunting for the best dentist near me in Dammaiguda , then don’t worry. We atSmile Dental & Implant Centre offer trusted dental expertise coupled with gentle treatment using state-of-the-art equipment.

24 X7

Emergency Service

100K

Happy Patients

15 +

Experienced Dentist

700+ 5 Star Reviews

Real Smiles. Real Reviews. Real Care.

Need Dental Services ?

+91- 7396529265

Opening Hours

Mon to Sat 9:00AM to 9:00PM

About US

Our Trusted Smile Results are fueled by Precision driven care, gentle treatment and advanced technology.

Smile Dental and Implant Centre is a well-known dental hospital in Dammaiguda and Nagaram, noted for delivering excellent results. Smile Dental believes that trust, comfort, and genuine concern for our patients are the foundations of high-quality dental care. So we patiently listen to all of our patients’ worries and explain the problem and treatment approach. We believe that a patient should be aware of their teeth, so the procedure can be performed in a safe and friendly manner.

Invisalign Treatment Completed
0
Smiles Restored with Dental Implants
0

Our Dental Services

Touch of Modern technology with Expert Hands from Preventive Care to Advanced Treatments

Every Smile Is Precious to Us

We Care for Every Smile

It’s Time to Feel Confident about Your Smile with our Tailored Dental Care in Dammaiguda & Nagaram.
We bring the best skilled dentists and modern dentistry with a gentle and caring approach that makes your visit feels reassuring and comfortable.
Here’s What We Stand for?

Our Commitment

For us, what matters the most is how we see dentistry through people, not just appointments. We take moments to listen to everything, because understanding patients' concerns comes first. We explain every procedure clearly to the patients, helping them to make informed decisions without any pressure. Every step, whether checking routine health, handling discomfort with root canals, or moving into complex dental services, our team guides them by fairness, patience and follow throughout the procedure.

Every Smile Counts

We value every smile as each smile has its own touch. When a patient walks in, we patiently listen to their dental concerns and then recommend dental solutions by clearly describing all of the specifics. Despite your dental anxieties, as you walk in, our clinic environment will greet you warmly, guaranteeing that your dental appointment is safe and comfortable while undergoing treatment. Our dentist constantly ensures that the procedure is pleasant and painless for the patients.

Dr. P Sudhakar MDS

Meet Dr. P. Sudhakar, our periodontist and implantologist in Dammaiguda and Nagaram. He always believes that effective oral care begins with listening and understanding the patient's concerns. Known for his calm and comforting manner, and provides compassionate and effective therapies that are tailored to each patient's unique needs. He is one of the most recommended dentists in the surrounding area.

Dr. K Mounika B.D.S, PGDCC

Dr. Mounika, our favorite dentist, is well-known for cosmetic dentistry. She treats her patients with kindness and a patient-centered approach. Before beginning the dental procedure, she goes over every step in detail and emphasizes preventive and cosmetic density maintenance. She is a leading cosmetic dentist in Dammaiguda and Nagaram.

Why Choose Smile Dental and Implant Centre?

There are numerous dental clinics in Dammaiguda, but what makes ours special is, we not just provide treatment but we offer a safe, understanding and caring environment to our patients.

Patient Centric Approach

Here, dentists always take a moment to understand the patient's dental concern by listening to their oral history. After then, our dentist explains the required dental treatment options and recommends those oral treatments that suit the patient better.

Gentle Care & Painless Treatment

We, at smile dental & implant centre offer gentle care that primarily focuses on pain free techniques with minimal discomfort, making your dental visits more comfortable and also for those patients who are anxious.

1000321768 (1)-Photoroom

Advance Dental Equipment

We have advanced dental machinery and equipment that allows us to make accurate diagnoses. These new tools also aid in the effective completion of treatments while providing long-term outcomes

Long Term Oral Health

We provide long-lasting treatments that support your smile today and for years to come. In addition, we always strive to establish enduring relationships with our patients.

Frequently Asked Questions (FAQs)

Have Questions? We’re Here to Help

Is dental treatment painful?

Dental treatment can be painless when performed by a professional, and at Smile Dental & Implant Centre , oral treatments are mild and comfortable.

Yes, dental procedures are safe for children and can help them maintain good oral hygiene.
There are a lot of false beliefs that teeth whitening is unsafe. You can undergo teeth whitening, which is completely safe for your teeth and promotes dental health.
We constantly listen to patients’ worries and the problems they are having with their dental health. Based on that, we provide them the opportunity to select and comprehend every aspect of the treatment by explaining it to them and suggesting a safe technique.
One should attend a dental facility once a quarter to get their teeth checked. Whether the teeth are healthy or not. Because detecting the problem at an early stage allows for better treatment.
The dental implants or crowns last for many years i.e., long lasting and it functions like a natural tooth, but you have to take proper care and regular check-ups.
A strong No. Many cosmetic treatments, in addition to improving beauty, can improve bite function, oral health, and confidence.
Yes, of course. Smile Dental & Implant Centre prioritises all types of dental emergencies and strives to provide our patients with immediate treatment and care.

Video testimonials

TESTIMONIALs

What Our Patients Say About Us

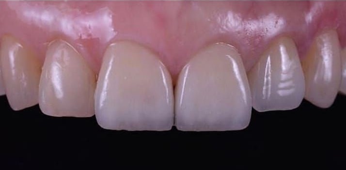
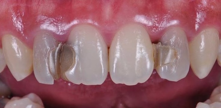
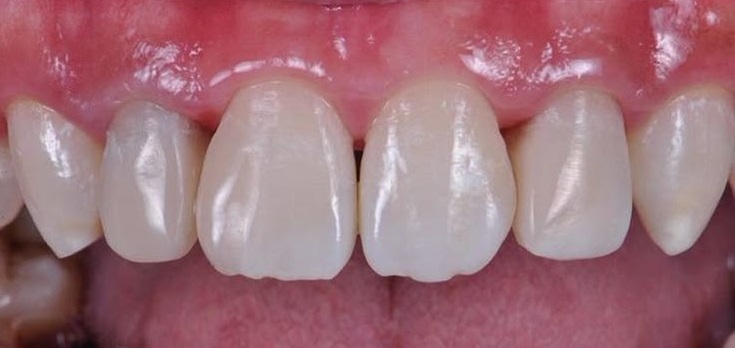
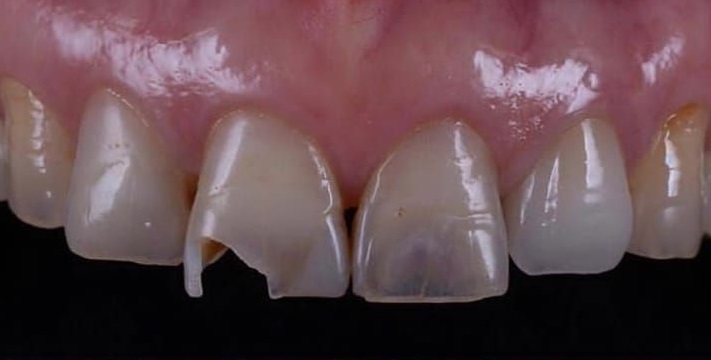
See the Smile Transformation

Real Results. Real Smiles.

Before
After
Before
After

BOOK YOUR APPOINTMENT

Book your dental visit now

Let’s schedule an appointment when it’s convenient for you to come in and improve your smile with our dental treatment. You’ll note that our care is genuine, quiet, and steady.

Monday To Saturday 9am - 9pm
Sunday
Closed

24/7 Emergency

Mon to Sat 9:00AM to 9:00PM

Make an appointment to get a brighter, healthier smile